Retracția gingivală – de ce apare și cum se tratează corect
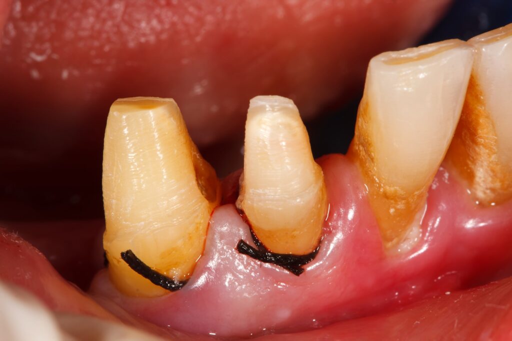
Retracția gingivală este o afecțiune des întâlnită la adulți și, din păcate, mulți pacienți o ignoră până când apar complicații serioase. Atunci când gingiile se retrag, dinții par mai lungi, pot deveni sensibili și chiar se pot pierde în timp.
Vestea bună este că tratamentele moderne, combinate cu prevenția corectă, pot opri procesul și pot reda sănătatea gingiilor.
Cauzele principale ale retracției gingivale
Retracția gingivală poate apărea din mai multe motive:
- Periaj dentar agresiv sau folosirea unei periuțe dure.
- Afecțiuni parodontale – boala parodontală este unul dintre principalii factori.
- Bruxismul (scrâșnirea dinților), care exercită presiune pe gingii.
- Predispoziție genetică, ce face unele persoane mai vulnerabile.

Factori de risc care favorizează retragerea gingiilor
Pe lângă cauzele directe, există și factori care favorizează retracția gingivală:
- Fumatul, ce reduce vascularizația și capacitatea de vindecare a gingiilor.
- Alimentația săracă în vitamine și minerale.
- Schimbările hormonale (sarcină, menopauză, pubertate).
- Igiena orală incorectă sau, dimpotrivă, excesiv de agresivă.
Cum recunoști retracția gingivală – simptome clare
Semnele care indică o problemă gingivală includ:
- Sensibilitate crescută la rece sau cald.
- Expunerea rădăcinii dintelui, dinții par mai lungi.
- Inflamație, roșeață și sângerări gingivale.
Legătura dintre retracția gingivală și alte afecțiuni
Retracția gingivală poate fi asociată cu boli generale sau locale:
- Parodontoza accelerează pierderea țesutului gingival.
- Diabetul crește riscul de inflamații și infecții la nivelul gingiilor.
- Imunitatea scăzută face ca vindecarea să fie mai dificilă.
Impactul emoțional și estetic al retracției gingivale
Pe lângă durere și sensibilitate, retracția gingivală poate afecta încrederea în sine. Un zâmbet cu dinți aparent mai lungi și gingii retrase influențează modul în care o persoană se percepe și relaționează social.
Tratamentele moderne nu au doar rol medical, ci și estetic, redând frumusețea naturală a zâmbetului.
Ce se întâmplă dacă ignori problemele gingivale?
Retragerea gingiilor netratată poate duce la:
- Mobilitatea dentară și, în final, pierderea dintelui.
- Durere cronică și sensibilitate accentuată.
- Infecții recurente și inflamații.
- Probleme de masticație și de vorbire.
Cele mai eficiente tratamente pentru retragerea gingiilor
Alegerea celui mai potrivit tratament pentru retracția gingivală depinde întotdeauna de cât de avansată este afecțiunea și de cauza care a declanșat-o.
De aceea, este important să nu încerci să tratezi problema doar acasă, fără o evaluare profesională. Totuși, există soluții care pot ajuta în fiecare etapă.

1. Gel pentru retracție gingivală – calmare rapidă și protecție
Gelurile gingivale sunt o alegere excelentă în fazele incipiente, când gingiile sunt inflamate sau sensibile. Ele au rolul de a calma durerea, de a reduce inflamația și de a crea un strat protector care ajută la vindecarea țesutului.
Caută produse care conțin extract de mușețel, aloe vera sau acid hialuronic, recunoscute pentru proprietățile lor calmante și regenerative.
Un sfat important: aplică gelul de 2–3 ori pe zi, după periaj, masând ușor gingiile pentru o absorbție mai bună.
2. Pastă de dinți pentru gingii retrase – îngrijire zilnică delicată
O pastă de dinți specială pentru retracție gingivală te ajută să protejezi gingiile zilnic, reducând sensibilitatea și prevenind retrageri suplimentare.
Alege variante fără agenți abrazivi, cu fluor și nitrați de potasiu, care întăresc smalțul și reduc sensibilitatea dentară.
Evita periuțele dure și mișcările agresive – un periaj blând este esențial pentru menținerea sănătății gingiilor.
3. Tratament acasă vs. tratament la medic – ce trebuie să știi
Produsele pentru uz casnic pot ajuta temporar la calmarea simptomelor, dar nu tratează cauza reală a retracției. Dacă observi sângerări frecvente, durere sau dinți aparent mai lungi, este momentul să consulți medicul stomatolog.
La cabinet, medicul poate identifica exact cauza – fie o boală parodontală, fie bruxism, fie o igienă incorectă – și îți poate recomanda tratamentul potrivit.
Combinația dintre tratamentele profesionale și îngrijirea corectă acasă oferă cele mai bune rezultate.
4. Tratament profesional la stomatolog
La clinica STOMESTET din Cluj, tratamentul pentru retracția gingivală este adaptat fiecărui pacient.
În funcție de diagnostic, medicul poate recomanda:
- Curățare profesională profundă (detartraj ultrasonic și airflow) pentru eliminarea tartrului și a bacteriilor.
- Tratament laser sau PRF (Platelet Rich Fibrin) pentru regenerarea țesutului gingival.
- Grefe gingivale sau chirurgie plastică parodontală în cazurile severe, unde gingia trebuie reconstruită.
Avantajul tratamentelor moderne este că sunt minim invazive, iar recuperarea este rapidă și confortabilă.
În ceea ce privește tratament retracție gingivală preț, costurile variază în funcție de complexitatea cazului, de tehnologia utilizată și de materialele biocompatibile folosite.
La STOMESTET, fiecare pacient primește o estimare clară și transparentă a costurilor încă din prima consultație, astfel încât să știe exact ce presupune procesul de vindecare — medical și financiar.
Sfat util: nu amâna tratamentul până când apare durerea. În fazele incipiente, gingia se poate regenera complet, iar disconfortul este minim. Cu cât acționezi mai devreme, cu atât tratamentul este mai simplu și mai eficient.
Cum îngrijești gingiile după tratament
- Periaj delicat cu periuțe moi.
- Evitarea alimentelor dure și foarte reci/calde în perioada imediat următoare tratamentului.
- Vizite regulate la stomatolog pentru monitorizare.
- Renunțarea la fumat și adoptarea unui stil de viață sănătos.
Sfaturi utile pentru prevenirea retragerii gingiilor
Prevenția este cea mai sigură metodă:
- Folosește tehnici corecte de periaj.
- Alege periuțe cu peri moi.
- Menține controale stomatologice regulate.
- Adaugă în dietă vitamine și minerale esențiale.
Mituri și adevăruri despre retracția gingivală
- ❌ „Retracția gingivală trece de la sine.” – Fals.
- ❌ „Apare doar la vârstnici.” – Fals.
- ✔ „Tratamentul profesionist poate stopa evoluția.” – Adevărat.
Unde găsești tratament profesionist pentru gingii retrase
La clinica STOMESTET din Cluj, pacienții beneficiază de tratamente moderne și personalizate pentru regenerarea gingivală.
Alegerea unui stomatolog experimentat este cheia pentru oprirea evoluției și menținerea sănătății zâmbetului.
Întrebări frecvente
- Se poate vindeca complet retracția gingivală?
Nu, dar tratamentele moderne pot stopa evoluția și pot stimula regenerarea gingiilor. - Cât durează recuperarea după o operație pentru retracție gingivală?
În medie câteva săptămâni, în funcție de complexitate. - Produsele din farmacie pot rezolva problema?
Ameliorează simptomele, dar tratamentul de durată este doar cel profesional.
Redescoperă bucuria unui zâmbet sănătos
Retracția gingivală nu trebuie amânată. Cu ajutorul unui tratament profesionist, poți evita complicațiile și îți poți recăpăta zâmbetul sănătos.
La clinica STOMESTET găsești soluții moderne și personalizate pentru fiecare pacient.
📍 Ne găsești la:
Calea Mănăştur, Nr. 68A, Cluj-Napoca, Cluj
📞 Sună-ne pentru o programare:
0264 427 234
0264 557 777